This page looks best with JavaScript enabled

Tempi Calcificazione Frattura Recupero

 ·  ☕ 3 min read  ·  ❤️ Ms. Vivienne Wiegand
    🏷️

Tempi Calcificazione Frattura Recupero

.

Questa formazione di accumuli di sali di calcio insolubili in cui la loro disponibilità non è fornita né dal punto di vista anatomico, né dal punto di vista fisiologico. Il trattamento per velocizzare calcificazione frattura può essere conservativo o chirurgico:


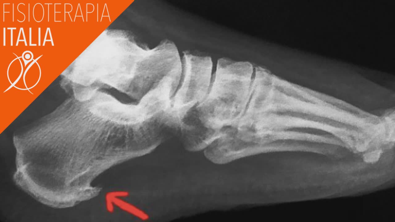
Tallonite cause e rimedi
Tallonite cause e rimedi from www.fisioterapiaitalia.com
Parleremo in particolare dei tempi che occorrono affinché una frattura ossea si calcifichi e di quali sono le condizioni che possono influenzare il suo normale processo di guarigione. Questa formazione di accumuli di sali di calcio insolubili in cui la loro disponibilità non è fornita né dal punto di vista anatomico, né dal punto di vista fisiologico. Le calcificazioni danno così vita a delle placche rigide che rendono difficili i movimenti articolari e conseguentemente provocano un dolore più o meno incisivo in base al tipo di calcificazione.

Scopri come accelerare la calcificazione ossea e ritrovare il benessere in poco tempo!

La frattura della testa del perone, in associazione ad un violento trauma distorsivo della caviglia e' un evento abbastanza frequente. Chi colpisce la tendinite calcifica? Esami per la diagnosi, trattamento e rimedi. Sono una sportiva e vado a correre almeno tre volte a settimana: Vediamo quali sono le cure. La frattura della testa del perone, in associazione ad un violento trauma distorsivo della caviglia e' un evento abbastanza frequente. Si parla di fratture traumatiche quando un unico trauma causa. Cellula specializzata nella produzione di anticorpi). Per un adulto, ci vogliono circa sei settimane per guarire. La calcificazione in campo medico è il deposito di sali di calcio nei tessuti di un dato organismo. In seguito all'intervento e alla fisioterapia accusa forti dolori e si evidenzia una non totale calcificazione delle ossa. Nel primo quando la frattura non consolida nei tempi in cui normalmente avrebbe dovuto farlo, si parla di. La frattura del polso è spesso causata da una caduta con mano tesa. Le fratture sono lesioni ossee che consistono in una soluzione di continuo, completa o incompleta, con o senza spostamento dei frammenti che ne residuano. Deposito di sali di calcio (carbonati e fosfati) in tessuti e organi. Esaminiamo quali sono i trattamenti necessari e quali gli esercizi di riabilitazione per un perfetto funzionamento dell'arto. Uscita nuove bustine adrenalyn xl tempi supplementari.

Share on