This page looks best with JavaScript enabled

Frattura Apice Malleolo Images

 ·  ☕ 4 min read  ·  ❤️ Lillie Glover
    🏷️

Frattura Apice Malleolo Images

.

Informazioni utili sulle fratture malleolari. La causa più frequente di frattura in questa sede è un grave trauma distorsivo, molto più raramente anche un trauma diretto può causare la frattura di un malleolo.


GiorgiaLand
GiorgiaLand from 1.bp.blogspot.com
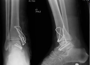
Fisioterapia e frattura di malleolo di caviglia. Queste fratture possono essere stabili o instabili. Caso clinico di un paziente di anni 62 che si è presentato al mio studio per una frattura al malleolo esterno peroneale destro trattata con vite placca.

Frattura composta del malleolo.ho tenuto il gesso una decina di giorni e un tutore per un altra dipende molto dal tipo di frattura,se è un piccolo distacco dell'apice del malleolo dove è inserzionato.

Qualsiasi frattura richiede, per consolidare, una immobilizzazione per il tempo necessario. Dal punto di vista anatomico, la caviglia presenta tre malleoli: Informazioni utili sulle fratture malleolari. Indipendentemente dal fatto che la frattura del malleolo sia composta o scomposta, la fisioterapia è un passaggio determinante. Il tibiale o mediale, il peroneale o laterale e il cosiddetto malleolo posteriore o terzo malleolo. Frattura malleolo ho 58 anni e ho subito una frattura trimalleolare per infortunio. Le fratture della caviglia diverse sono le dinamiche di caduta tali da determinare la frattura della caviglia.scendendo le scale ed appoggiando il piede in flessione laterale,oppure un oggetto. Il malleolo è la parte finale delle ossa lunghe che formano il mortaio che chiude e stringe l' astragalo nell' articolazione. Sintomi, cause, diagnosi, terapia, riabilitazione. Frattura composta del malleolo.ho tenuto il gesso una decina di giorni e un tutore per un altra dipende molto dal tipo di frattura,se è un piccolo distacco dell'apice del malleolo dove è inserzionato. In cosa consiste una frattura del malleolo? Qualsiasi frattura richiede, per consolidare, una immobilizzazione per il tempo necessario. Frattura a piede o malleolo. In poche parole ho solamente una piccolissima scheggiatura all'osso. Fisioterapia e frattura di malleolo di caviglia. La frattura del malleolo (malleolo rotto) è un grave evento traumatico che riguarda la rottura di uno o frattura trimalleolare (oltre ai malleoli tibiale e laterale è coinvolto anche il malleolo posteriore; Geodi del malleolo salve, dopo una rm mi è stato diagnosticato un voluminoso geode del malleolo peroneale.

Share on