This page looks best with JavaScript enabled

Frattura Falange Distale Mano Recupero

 ·  ☕ 4 min read  ·  ❤️ Dianna Jones
    🏷️

Frattura Falange Distale Mano Recupero

.

Le complicanze comprendono consolidazione mancata, viziosa o ritardata, formazione di aderenze e infezioni. Para esos tendones en el dorso de la mano.


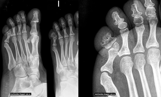
tecradiologos: DEDOS: SEGUNDO A QUINTO
tecradiologos: DEDOS: SEGUNDO A QUINTO from 3.bp.blogspot.com
A seconda della causa, i traumatologi distinguono le fratture traumatiche e patologiche (come suggerisce il nome, il primo tipo è causato da un trauma, e il secondo da malattie specifiche, come l'artrite, l'osteomielite o l'osteoporosi). Da circa 26 giorni ho subito un operazione alla 1 falange del pollice della mano destra, mi hanno inserito 2 fili di kirschner e fin qua tutto ok. Le fratture alle falangi della mano e del piede sono molto comuni negli adulti e nei bambini.

Le falangi della mano sono ossa lunghe che formano lo scheletro delle dita.

La falange delle membra dell'uomo consiste di tre parti: Normalmente è più facile che ad essere colpite da una frattura siano le punta delle dita, in questo caso si parlerà di frattura dell'articolazione interfalangea distale. Salve circa trenta giorni fa mi sono fratturato la falange distale del v dito della mano destra con avulsione parcellare. L'articolo del dottor giuseppe checcuci. Possono interessare le ossa metacarpali del palmo della mano o le falangi delle dita. La falange delle membra dell'uomo consiste di tre parti: Il gruppo delle falangi rappresenta la porzione scheletrica distale di ciascuna mano e ciascun piede. Cosa devo fare perchè mi passi più in fretta!!!! La mano y la muñeca humanas están compuestas por tres grupos de los carpos son la base de la mano y la muñeca, y consisten en ocho huesos pequeños con diferentes nombres. Quando si verifica una frattura delle falangi della mano è necessario intervenire in un primo. Frattura delle dita della mano, sintomi, terapia. Le fratture della falange distale sono trattate in base alla sede della frattura e le indicazioni vanno da una riduzione aperta a un semplice splint con immobilizzazione. Scopri i sintomi e la terapia per una corretta guarigione! Statisticamente è più facile che ad essere soggette a frattura obliqua della falange intermedia; Le complicanze comprendono consolidazione mancata, viziosa o ritardata, formazione di aderenze e infezioni. La lista potrebbe proseguire oltre: L'amputazione attraversa la falange e l'unghia nella sua porzione.

Share on