This page looks best with JavaScript enabled

Frattura Comminuta Images

 ·  ☕ 3 min read  ·  ❤️ Lamar Mohr
    🏷️

Frattura Comminuta Images

.

Frattura di femore comminuta (ortopedico veterinar. Scopri il significato del termine medico comminuta (frattura) sulle pagine del dizionario di frattura in cui l'osso è rotto in più punti, con formazione di piccoli frammenti.


Guarigione delle fratture ossee - come sana un osso rotto ...
Guarigione delle fratture ossee - come sana un osso rotto ... from www.giuseppefanzone.it
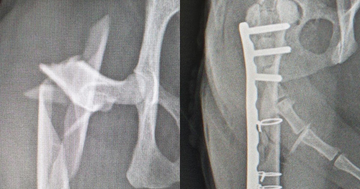
Frattura comminuta di tibia trattata con tecnica. Frattura comminuta in anderen sprachen: Le fratture per carichi di sforzo troppo elevati vengono definite fratture da stress e sono causate dalla ripetizione di continue sollecitazioni sull'osso.

Le fratture sono classificate secondo diversi criteri.

Le fratture semplici sono caratterizzate dalla rottura dell'osso su un'unica linea, provocando la divisione dell'osso in due monconi, mentre la frattura comminuta (poliframmetaria) presenta più fessure che. Frattura comminuta in anderen sprachen: Frattura comminuta di tibia trattata con tecnica. Frattura di un osso in numerosi frammenti. Frattura comminuta (illustrazione di mirko tangherlini). Frattura in cui l'osso è rotto in più punti, con formazione di piccoli frammenti. Un tipico esempio è la frattura da marcia o dei. La frattura in medicina è l'interruzione dell'integrità parziale o totale di un osso. Una frattura è un'interruzione di continuità di un osso. Cerca un termine medico e consulta il nostro diz. Se la frattura riguarda solo l'osso è detta isolata, mentre se coinvolge anche i legamenti è detta associata. Tuttavia, prima di andare all'ospedale vale la pena cercare di capire se il dito è. Le fratture per carichi di sforzo troppo elevati vengono definite fratture da stress e sono causate dalla ripetizione di continue sollecitazioni sull'osso. Le fratture semplici sono caratterizzate dalla rottura dell'osso su un'unica linea, provocando la divisione dell'osso in due monconi, mentre la frattura comminuta (poliframmetaria) presenta più fessure che. Scopri il significato del termine medico comminuta (frattura) sulle pagine del dizionario di frattura in cui l'osso è rotto in più punti, con formazione di piccoli frammenti. Dizionario medico, definizione di comminuta (frattura): Leggi la risposta del nostro specialista in ortopedia e traumatologia, il il discorso cambia per la frattura dello scafoide che andrebbe operata per il rischio molto alto di una.

Share on