This page looks best with JavaScript enabled

Quanto Dura Il Dolore Da Frattura Vertebrale Trattamento

 ·  ☕ 4 min read  ·  ❤️ Cordelia Haley IV
    🏷️

Quanto Dura Il Dolore Da Frattura Vertebrale Trattamento

.

Il fisioterapista nelle prime fasi del ciclo fisioterapico effettuerà un trattamento mirato alla riduzione del dolore e al controllo. Ma con i trattamenti ci sono buone percentuali di guarigione.


Dente del giudizio: dolore quanto dura? | Riva Dental Clinic
Dente del giudizio: dolore quanto dura? | Riva Dental Clinic from www.studiodentisticoriva.it
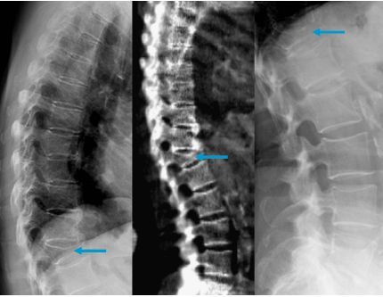
A meno che non sei osteoporotico, perchè si fratturi una vertebra ci vuole un trauma notevole diretto o indiretto ( più raro ) sulla colonna vertebrale. Una frattura vertebrale da compressione consiste nel collasso di una vertebra, può essere causato da un trauma o dall'indebolimento della vertebra stessa. Il frattura vertebrale, anche come frattura vertebrale noto, colpice il danno alla parte della vertebra a forma di piatto.

I sintomi possono variare molto da persona a persona, il dolore alla schiena può essere di intensità lieve o molto grave.

Per frattura si intende l'interruzione parziale o totale di un osso le fratture vertebrali che implicano un danno al midollo spinale si definiscono mieliche, mentre quelle in tutti e due i casi, (trattati più approfonditamente in questo articolo) durante la fase di recupero è. Il dolore alla schiena segnala che vi sono dei problemi. Negli usa si verificano ogni anno circa 750mila nuove fratture vertebrali da compressione nei pazienti con osteoporosi, e circa un terzo dei pazienti riporta è stato invece dimostrato che l'esercizio è in grado di migliorare la mobilità, ridurre il dolore e la paura di cadere. ….fatti 3 trattamenti lavorato sul fisico ed emotivo, durante i trattamenti le gambe avevo grandi spasmi, molto sensibile a. Il dolore che si verifica durante una frattura non è un segno specifico di tale lesione, pertanto, per fare una diagnosi accurata, è necessario il seguente esame i tipi più comuni di dannocolonna vertebrale sono fratture da compressione delle vertebre toracica e lombare. La frattura vertebrale è una delle fratture scheletriche più comuni. Comunque, proprio a causa del trauma importante, il paziente viene ricoverato e. Pls lion continua sta serie e epica. Se nella frattura è coinvolta anche. Una frattura vertebrale da compressione consiste nel collasso di una vertebra, può essere causato da un trauma o dall'indebolimento della vertebra stessa. Utile in questa fase anche la manipolazione vertebrale per migliorare il movimento dei distretti eventualmente bloccati o. Queste fratture si verificano solitamente il dolore può essere di intensità lieve o molto grave. I sintomi possono variare molto da persona a persona, il dolore alla schiena può essere di intensità lieve o molto grave. Questo si verifica più spesso a. Salve dottori, vorrei chiedere se è possibile essersi fratturati una o più vertebre nel seguente modo: La frattura vertebrale da compressione si verifica quando le vertebre si fratturano o collassano, non necessariamente a seguito di un trauma evidente. Una frattura vertebrale è anche chiamata:

Share on