This page looks best with JavaScript enabled

Frattura Zampa Posteriore Gatto Trattamento

 ·  ☕ 3 min read  ·  ❤️ Mazie Walsh Jr.
    🏷️

Frattura Zampa Posteriore Gatto Trattamento

.

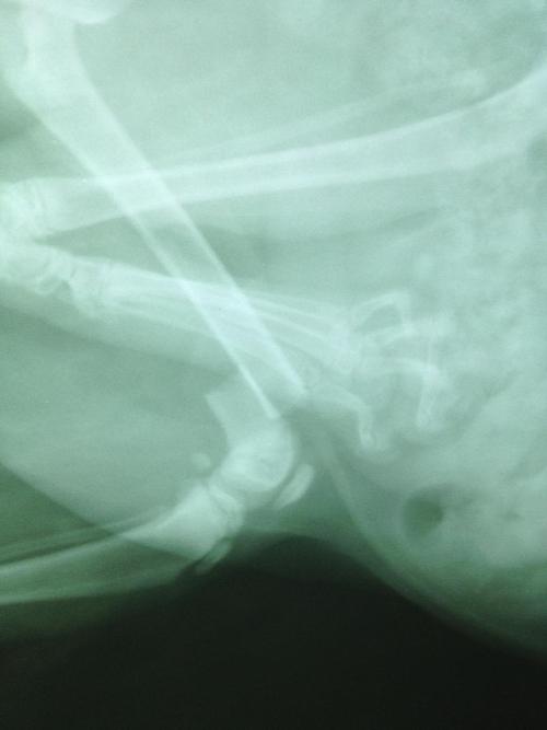
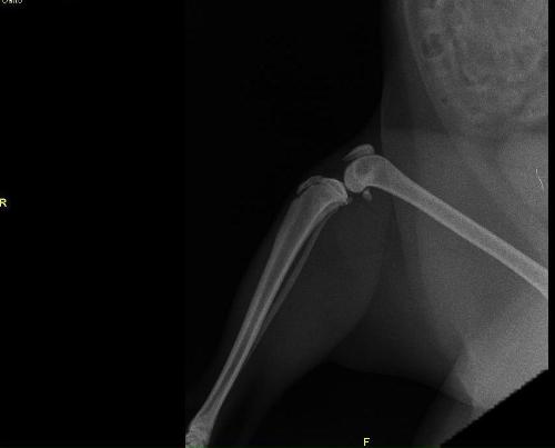
Come steccare una frattura nel gattto. Frattura di femore che si ricompone con mezzo di fissità interno.


Gatti | Camminare sul balcone
Gatti | Camminare sul balcone from media.petsblog.it
È ampiamente usato nelle lesioni del nervo sciatico. Steccare una frattura può essere molto complicato e non sempre utile. Era da un paio di giorni la prima cosa da capire è se effettivamente si tratta di frattura:

Prendersi cura di un gatto tripode non è poi così diverso da quello se l'amputazione interessa una zampa posteriore, si può effettuare a metà femore oppure con la rimozione dell'intera.

Frattura , lussazione falange zampa posteriore sx. Frattura del femore nel gatto. Cure rimedi naturali frattura ossea nel gatto omeopatia inizialmente, a seguito di un trauma il rimedio consigliato è arnica comp della heel. .foto frattura frattura bacino frattura dente frattura mandibola frattura ulna frattura unghia frattura zampa fratture sanitario wustel york shire yorkshire zampa zampa gonfia zampe zampe posteriori zecca zecche zoonosi zoppia zoppie. Soccorso per problemi concomitanti causati dal trauma è la parte più importante del trattamento. Maddy ha il gatto che è stato investito e vuole sapere cosa deve fare, per questo ha chiesto aiuto nella tua lettera ci dici che il micio è stato investito e da allora non poggia più la zampina posteriore. Una lussazione non è visibile come un frattura ma riduce nel gatto la sua capacità di sopportare il suo peso. La frattura del femore è una delle più comuni nel gatto. Il proprietario riferiva che il gatto, rientrato dopo qualche giorno di assenza, probabilmente aveva patito la caduta da un muro di cinta di notevole. Trattamento del metatarso e metacarpo fratture in gatti. Problemi neurologici come deficit propriocettivi; Si chiama borsa primordiale, e ha funzioni precise. A volte, gatti e umani, dobbiamo andare nel nostro giardino segreto. Mao mao è stato trattato alla clinica veterinaria parabiago. Illustrazione dell'icona del fumetto della maschera da portare del gatto fortunato sveglio. Come steccare una frattura nel gattto. Vi siete mai chiesti perché il cane alza la zampa posteriore?

Share on