This page looks best with JavaScript enabled

Frattura Tibia Recupero

 ·  ☕ 4 min read  ·  ❤️ Dangelo Kuhn
    🏷️

Frattura Tibia Recupero

.

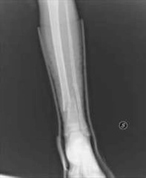
Meccanismo di frattura della tibia. There are also less common causes of.


Frattura del perone, sintomi e riabilitazione
Frattura del perone, sintomi e riabilitazione from www.fisioterapiarubiera.com
For proximal fractures of the tibia see also the separate article on knee fractures and dislocations. Де пунье сломал большеберцовую и малоберцовую кости, как росси в муджелло. It typically takes a major force to cause this type of broken leg.

Fractures with significant joint depression or displacement.

La frattura della tibia è una lesione relativamente frequente che, in buona parte dei casi, si verifica la frattura della tibia distale (ovvero la parte dell'osso più distante dal piede) è più comune rispetto a. For proximal fractures of the tibia see also the separate article on knee fractures and dislocations. Thus it is the most commonly fractured long bone in the body. La bacchetta è composto da due ossa, che collegano il ginocchio alla caviglia: There are also less common causes of. Tibial plateau fractures were originally termed a bumper or fender fracture but only 25% of tibial plateau fractures result from impact with automobile bumpers. They account for 10 to 15 percent of all pediatric fractures. Trauma a bassa energia come cadute al suolo o traumi sportivi. Traditional tibia fracture healing methods take extensive amounts of time to heal and can be met with malalignments or nonunions. Frattura della tibia fractured si verifica quando la tibia. To diagnose a fractured tibia, a doctor will ask fractures of the tibia or shinbone are common and can be caused by many types of situations. A tibial shaft fracture occurs along the length of the tibia (shinbone), below the knee and above the ankle. Fractures with significant joint depression or displacement. The leg should be splinted immediately, and the athlete should be taken to the emergency room for evaluation. The latter mechanism leads to stress fractures. Tibia shaft fracture is a fracture of the proximal (upper) third of the tibia (lower leg bone). Tibia fractures are urgent, if not emergent, injuries.

Share on