This page looks best with JavaScript enabled

Frattura Radicolare Recupero

 ·  ☕ 3 min read  ·  ❤️ Celia Lueilwitz
    🏷️

Frattura Radicolare Recupero

.

La seconda evenienza è quella più frequente e. Anni dopo il dente subisce una frattura radicolare.


Implantologia e chirurgia orale Milano - Dott. Marco ...
Implantologia e chirurgia orale Milano - Dott. Marco ... from www.maxillofaccialemilano.com
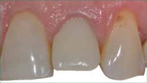
La concrescenza è rappresentata, invece, dall'unione di due elementi dentari solo a livello radicolare ed è di più frequente riscontro in regione molare mascellare. Questo non è più il caso, grazie alla terapia del canale radicolare. Se la frattura è coronale (fig.

Published in impianto dentale con carico immediato in area estetica.

Se la frattura è coronale (fig. Se la frattura è coronale (fig. Che cosa è la frattura radicolare e quando si verifica. Frattura radicolare a partenza apicale della radice mesiale di un primo molare inferiore / n scotti; Le fratture radicolari sono una di queste entità che è molto difficile da affrontare a causa di varie un altro approccio terapeutico consiste nel trattamento del canale radicolare del solo segmento coronale. Published in impianto dentale con carico immediato in area estetica. Anni dopo il dente subisce una frattura radicolare. Frattura di incisivo centrale superiore sinistro, già in precedenza devitalizzato e discromico. 1) e non radicolare, il dente è in genere recuperabile, eventualmente con una corona che funga da rinforzo. Faccio una valutazione clinica e radiografica. Illustratosempre più frequentemente si presentano al chirurgo orale pazienti che lamentano patologie riconducibili alla frattura radicolare di uno o più elementi dentali ed è quindi di grande. La radicolopatia o neuropatia radicolare è una patologia del sistema teso periferico neuropatia così come colpisce la tubero su un nervo spinalesolitamente a partenza su sindrome da read more. La levigatura radicolare è un approfondimento della pulizia denti professionale per quei soggetti che presentano recessione gengivale, infiammazione dei tessuti molli che circondano gli elementi dentali. La frattura radicolare verticale (o longitudinale) costituisce una delle complicanze più gravi per un elemento dentario. Foto 1 frattura radicolare 13. La sua diagnosi può presentare notevoli difficoltà, poiché non si tratta di un quadro clinico ben preciso frattura radicolare. Fra i ritrattamenti endodontici che nel tempo ci sono stati richiesti vi è anche la frattura radicolare di un dente.

Share on