Se i reperti trovati nei bambini sono compatibili con una frattura dell'omero distale, i radiogrammi devono essere rivisti. Frattura del trochite operatori dr.
cucciolissima con grave frattura esposta gomito RX pag 2 ... from www.clinicaveterinaria.org
Fratture dellarto superiore clavicola scapola omero radio ulna ossa carpali o.metacarpali falangi. Salve, 5 meai fa ho fratturato omero distale, mi hanno dovuto operare con inserimento di 1 placca con dei viti. 4 omero distale le fratture dell omero distale includono:
Frattura del trochite operatori dr.
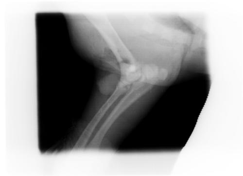
Queste fratture coinvolgono la superficie articolare omerale distale. Fratture parcellari dellastragalo tubercolo posteriore testacupola astragalica (distorsione di caviglia). Fabrizio iannelli strumentisti gianpiero minghetti alfredo buscetto. Se i reperti trovati nei bambini sono compatibili con una frattura dell'omero distale, i radiogrammi devono essere rivisti. Le fratture dell'estremità inferiore dell'omero (paletta omerale) rappresentano circa il 30% delle fratture del gomito. La frattura dell'omero è un'importante lesione caratterizzata dall'interruzione del tessuto osseo a carico di un osso lungo, appunto l'omero, che collega la spalla all'avanbraccio. 4 omero distale le fratture dell omero distale includono: La frattura dell'omero si verifica a seguito di un trauma al braccio, nella parte che collega la spalla al braccio. In genere, il trattamento delle fratture dell'estremità distale dell'omero è di tipo conservativo e consiste in: Le fratture dell'omero distale sono comuni nei bambini dai 3 ai 11 anni. Definizione, ultime notizie, immagini e video dal dizionario medico del corriere della sera. Le fratture nell'omero si verificano come parte di una frattura dell'omero distale, con fratture che colpiscono adulti e bambini a diversi livelli. Frattura del condilo omerale laterale con dislocazione del moncone osseo. La maggior parte delle fratture dell'omero guarisce senza intervento le fratture vicino alle articolazioni della spalla e del gomito, così come le fratture dell'estremità distale La frattura della testa dell'omero viene contata come fratture prossimali (prossimali) dell'omero. Rappresentano il 96% delle fratture dell'omero distale! Possono essere causate da un trauma diretto sul gomito oppure da una caduta.