This page looks best with JavaScript enabled

Frattura Dentale Recupero

 ·  ☕ 4 min read  ·  ❤️ Sophie Schmeler
    🏷️

Frattura Dentale Recupero

.

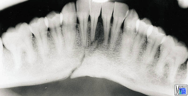
Sfortunatamente, talvolta le radiografie dentali non mettono in evidenza il dente fratturato. Questo molare presenta la sindrome del dente incrinato.


Frattura del processo alveolare
Frattura del processo alveolare from www.medeco.de
A chi o a che cosa dare la colpa? La frattura della cuspide va adeguatamente trattata per prevenire una frattura dell'intero dente. Sfortunatamente, talvolta le radiografie dentali non mettono in evidenza il dente fratturato.

Avere una bocca sana significa anche avere un bel sorriso.

Da cosa dipende la frattura di un impianto dentale. Chi è il colpevole della frattura di un impianto dentale? In caso di fratture dentali, i distacchi di dentina e smalto (1) possono essere ricostruiti in modo adesivo, con la tecnica dell'otturazione in composito. Trovare un impianto dentale ben osteointegrato ma fratturato a volte è un incubo. La frattura dentale è una conseguenza che si può presentare a seguito di traumi facciali più o meno importanti, o anche semplicemente durante la masticazione. Il dente fratturato non è stato devitalizzato, spiegandomi che bisogna attendere due settimane circa per valutare il da farsi. Altre fratture dentali complicate sono quelle in cui oltre alla eventuale esposizione pulpare , la frattura coronale si estende oltre il solco gengivale interessando anche la radice del dente. La frattura del dente o di più denti può infatti essere conseguenza del bruxismo o della tendenza a serrare i denti, lo sfregamento e la forte pressione tra le arcate dentali. Le fratture dentali sono una rottura dello strato esterno duro dei denti (smalto), che può penetrare attraverso il tessuto o le radici sottostanti. A chi o a che cosa dare la colpa? La frattura parte dalla superficie e continua verso la radice del dente, una frattura di questo tipo, che non viene individuata e curata per tempo, può causare la spaccatura del dente in due parti. Se si ha esposizione della polpa. Laterale ed estrusiva di incisivo centrale. Come curare le fratture dentali. Alterano l'armonia del sorriso e talvolta causano dolore e difficoltà nella masticazione. Incidenti, danni da attività sportiva o stupide bravate, come quella di aprire una bottiglia con i denti. La frattura della corona e della radice e lo sconficcamento degli incisivi superiori sono considerate le lesioni più comuni.

Share on