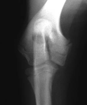
Salve in seguito ad una caduta ho riportato la frattura composta del trochite omerale dopo 30 gg di tutore alla visita l'ortopedico mi ha detto che posso toglire il tutore è prescritto 20 sedute di magnetofisioterapia spero di aver letto bene cosè. La frattura del trochite è probabilmente la frattura alla spalla più frequente, non è la più grave ma necessita di un inquadramento tempestivo, e sopratutto non ultimo chiaramente anche la decisione di un approccio chirurgico piuttosto che un approccio conservativo.
Frattura del trochite omerale:cos'è e la fisioterapia ... from www.cervicalevertigini.it
Una frattura del collo dell'omero si verifica nella zona più difficile del corpo per riabilitare: Sclerosi trochite omerale è una. Frattura trochite omerale intervento chirurgico necessario.
Necessario intervenire con tempestivit per evitare che le.
Il trochite omerale è essenziale per il movimento rotatorio della spalla. Solo un esame dello specialista ti può dire se hai problemi ai legamenti.cmq anni fà in seguito a caduta con la mtb da dh riportai la lussazione omerale con frattura del trochite.mi ripresi bene anche se ogni tanto cmq. Il trochite omerale è essenziale per il movimento rotatorio della spalla. D frattura del trochite omerale consolidata in posizione erronea che provoca impingment subacromiale. Home / shop / prodotti taggati fratture del trochite omerale. La frattura trochite omerale ad esempio interessa un osso specifico, appunto il trochite omerale. Il professor maiotti illustra le modalità di intervento possibili, dal trattamento non chirurgico all'alternativa della chirurgia quattro sono le strutture anatomiche principali: .appunto malleolo frattura trochite omerale hai eseguito una lastra alla spalla e il responso dice che hai avuto una frattura del trochite omerale? La testa omerale, il trochite, il trochine e la diafisi (figura 1). Frattura dell'omero significa rottura del braccio, si può verificare nella regione superiore, centrale o inferiore dell'osso. Fratture del trochite riduzione chirurgica delle fratture scomposte. Nel 2001 ho avuto la lussazione della spalla destra con frattura del trochite. Mi fecero tenere una fasciatura desault per 40 giorni, poi iniziai con i cicli di fisioterapia. In base alla sua entità e all'età del paziente, comporta seri e significativi problemi di movimento e guarigione. Fabrizio iannelli strumentisti gianpiero minghetti alfredo buscetto. Sclerosi trochite omerale è una. La cosa più lunga fu il recupero della mobilità articolare anche perchà.