This page looks best with JavaScript enabled

Frattura Del Gomito Trattamento

 ·  ☕ 4 min read  ·  ❤️ Alice Schultz
    🏷️

Frattura Del Gomito Trattamento

.

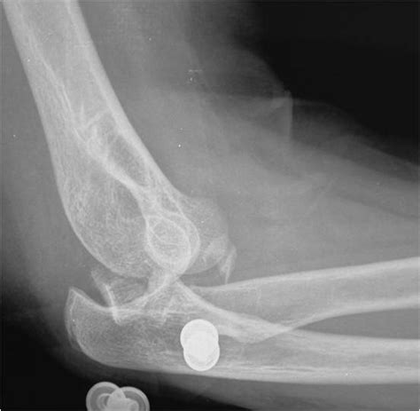
Fratture sovracondiloidee dell'omero = molto frequenti in bambini. La frattura del gomito in dettaglio.


Fratture lussazioni di gomito - Il Gomito
Fratture lussazioni di gomito - Il Gomito from www.ilgomito.it
Il traumatismo del gomito è quasi sempre una frattura esposta perché normalmente la forza che produce le fratture dell'omero distale sono importanti. Normalmente è causata da una lesione, quando il gomito è sottoposto a un forte impatto, in seguito a. Le fratture del braccio o del gomito sono un evento abbastanza frequente che implica la rottura di una o più ossa del braccio:

La frattura del braccio o del gomito sono un evento abbastanza frequente che comprende la rottura di una o più ossa del braccio, ulna, radio e omero.

Se si tratta di una frattura scomposta si può. Sintomi gomito che si gonfia immediatamente dopo il trauma e il dolore è così forte che non si riesce a compiere nessun movimento; Di seguito le strutture principalmente interessate. La frattura del gomito in dettaglio. Per diagnosticare questa frattura, il medico esegue radiografie in diverse. Mio figlio (9anni)il 7 gennaio si è fratturato il gomito.3settimane di stecca fissa,2 settimane di stecca solo di notte.ora iniziamo il 3° ciclo di fisioterapia ma il braccio non si estende ne si piega più. Le fratture del gomito possono avvenire per un trauma diretto sul gomito o per una caduta sul palmo della mano. La frattura del gomito è un evento patologico che consiste nella frattura di una combinazione qualsiasi delle tre ossa che compongono l'articolazione del gomito. La frattura del gomito è la rottura o lesione dell'articolazione tra omero (braccio), ulna e radio (gomito). La frattura del braccio o del gomito sono un evento abbastanza frequente che implica la rottura di una delle cause più frequenti di frattura è una caduta violenta sul braccio teso. Le fratture del capitello radiale. Che cos'è la frattura del gomito? Una frattura del gomito è la rottura o la lesione di almeno una delle ossa che formano l'articolazione tra l'omero (parte superiore del braccio), l'ulna e il raggio (gomito). Frattura della testa e del collo del radio (frattura in caso di frattura composta del gomito non si ricorre alla chirurgia, ma si sceglie. Hai subito la frattura del gomito? Le fratture del braccio o del gomito sono un evento abbastanza frequente che implica la rottura di una o più ossa del braccio: Il sintomo è un dolore.

Share on