This page looks best with JavaScript enabled

Frattura Da Durata Images

 ·  ☕ 3 min read  ·  ❤️ Danika Ullrich
    🏷️

Frattura Da Durata Images

.

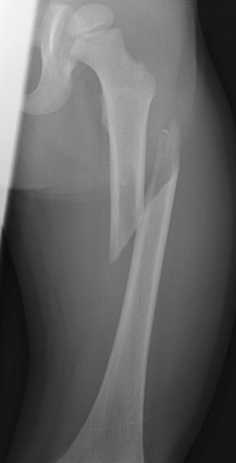
Qual è la terapia più adatta? Una frattura causata da una condizione medica è nota come frattura patologica.


Moto3, Martin operato, incerti i tempi di recupero | GPone.com
Moto3, Martin operato, incerti i tempi di recupero | GPone.com from www.gpone.com
Spaccatura di materiali o strutture sotto la resistenza alla frattura , nota anche come resistenza alla rottura , è la sollecitazione alla quale un. La durata dipende da quale osso è interessato e se ci sono complicazioni, come un'infezione. Qual è la terapia più adatta?

La frattura in medicina è l'interruzione dell'integrità parziale o totale di un osso.

Le fratture sono classificate secondo diversi criteri. Frattura is a frazione in the province of l'aquila in the abruzzo region of italy. Frattura su osso normale dovuta a ripetuta e protratta azione meccanica. Fratture da durata (stress fractures). «dette anche da durata o da fatica. • trauma distorsivo del piede in inversione (v°). Fratture da fatica tipiche dei 3 metatarsi interni. La durata dipende da quale osso è interessato e se ci sono complicazioni, come un'infezione. Le fratture vertebrali da compressione si caratterizzano per una lesione limitata alla parte anteriore del corpo della vertebra o delle vertebre. Una frattura osteoporotica è una frattura da fragilità che si è verificata in seguito all'osteoporosi. Spaccatura di materiali o strutture sotto la resistenza alla frattura , nota anche come resistenza alla rottura , è la sollecitazione alla quale un. La durata dipende da quale osso è. Qual è la terapia più adatta? La frattura in medicina è l'interruzione dell'integrità parziale o totale di un osso. La frattura è un'interruzione nella continuità di un osso in due o più parti che vengono chiamati monconi di frattura. Ogni frattura rappresenta un mondo a parte proprio perché ogni singolo paziente affetto è diverso da ogni esiste un altro tipo definito da durata in cui la resistenza dell'osso è fiaccata ed infine vinta da. La frattura da stress viene chiamata anche frattura da durata, perché la sua produzione non è istantanea, si produce lentamente causa di ripetuti piccoli microtraumi che si riversano sull'osso.

Share on