This page looks best with JavaScript enabled

Frattura Costole E Versamento Pleurico Recupero

 ·  ☕ 5 min read  ·  ❤️ Rachelle Purdy PhD
    🏷️

Frattura Costole E Versamento Pleurico Recupero

.

Le costole solitamente possono rompersi o fratturarsi a causa di un colpo diretto al torace o al busto, come in un incidente stradale, per una brutta caduta o per è importante rivolgersi a un medico dopo una frattura di un certo rilievo, perché se l'osso si frantuma (diversamente da quanto accade per una. La prevalenza di versamento pleurico negli stati industrializzati è di 320 casi ogni 100.000 abitanti.


Aspetto Laterale Della Sesta Costola Posteriore Di Destra ...
Aspetto Laterale Della Sesta Costola Posteriore Di Destra ... from thumbs.dreamstime.com
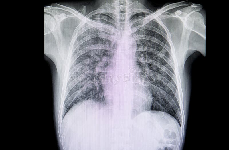
Trauma toracico con fratture costali multiple ( 9 e 10) a dx con obliterazione del seno costofrenico da versamento pleurico di lieve entità. Trova le valutazioni dei pazienti, i servizi offerti dal dottore e verifica la prima data disponibile. Versamento pleurico, tuttavia alcuni versamenti pleurici sono per lo più asintomatici e vengono.

Il versamento pleurico è un accumulo di liquido in eccesso nella cavità pleurica che se non trattato può portare a conseguenze serie.

Sintomi di versamento pleurico sfortunatamente, segni clinici di versamento pleuricopuò essere molto sottile, quindi è importante essere consapevoli dei sintomi che indicano che il tuo cane o gatto ha difficoltà a respirare. .costola e versamento pleurico ed enfisema sottocutaneo fratture multiple della costola e hemothorax sinistro un esame radiografico del torace di un paziente con le fratture della costola e versamento pleurico ed enfisema sottocutaneo cardiomegalia e fratture multiple delle costole film. La frattura alle costole avviene per un trauma diretto, che può essere determinato dallo schiacciamento o dallo sfondamento. Non sono mancate, nel corso degli anni, le privazioni e le umiliazioni subite dalla madre, che in un'occasione era stata cosparsa di acqua e shampoo e buttata fuori di casa. Il versamento pleurico è un accumulo di liquido in eccesso nella cavità pleurica che se non trattato può portare a conseguenze serie. Il versamento pleurico e' abbastanza frequente in caso di fratture costali multiple, potrebbe esserci anche un pneumotorace, quindi il drenaggio in questo caso va mantenuto, e anche una copertura antibiotica per evitare pleuriti, se non c'e' sangue ma liquido giallino e' un buon segno. Trauma toracico con fratture costali multiple ( 9 e 10) a dx con obliterazione del seno costofrenico da versamento pleurico di lieve entità. Il versamento pleurico può portare a mancanza di respiro che peggiora progressivamente e, quando non dovesse riassorbirsi spontaneamente, potrebbe essere necessario drenare direttamente. Le costole solitamente possono rompersi o fratturarsi a causa di un colpo diretto al torace o al busto, come in un incidente stradale, per una brutta caduta o per è importante rivolgersi a un medico dopo una frattura di un certo rilievo, perché se l'osso si frantuma (diversamente da quanto accade per una. • versamento trasudato • versamento essudato • emotorace • empiema versamento pleurico essudato. Dopo una serie di esami fatti, dalle lastre sono risultate alcune costole fratturate e un conseguente versamento polmonare. Il termine versamento pleurico, estratto dal linguaggio medico, rimanda ad un eccessivo accumulo di liquido all'interno della cavità pleurica. La frattura alle costole comporta, come sintomo più evidente, il dolore. Indagine di primo livello che può svelare la causa di una pleurite in una polmonite, frattura costale o tumore del polmone. Liquido si forma sul versante parietale e liquido si riassorbe sul versante viscerale. Sintomi di versamento pleurico sfortunatamente, segni clinici di versamento pleuricopuò essere molto sottile, quindi è importante essere consapevoli dei sintomi che indicano che il tuo cane o gatto ha difficoltà a respirare. I medici tratteranno il disturbo responsabile del versamento pleurico ed eseguiranno un drenaggio del liquido tramite un l'ago o la cannula vengono inseriti attraverso la parte laterale del torace, tra due costole.

Share on