This page looks best with JavaScript enabled

Frattura Coste Images

 ยท  โ˜• 4 min read  ยท  โค๏ธ Miss Libby King I
    ๐Ÿท๏ธ

Frattura Coste Images

.

La costola (o costa, in linguaggio medico) รจ un osso nastriforme, che parte dallo sterno per la migliore terapia per la frattura delle costole. Tra una frattura composta e una frattura scomposta, il quadro clinico cambia al punto della costa in cui avviene la lesione:


Medico digitale illustrazione raffigurante la vista ...
Medico digitale illustrazione raffigurante la vista ... from l450v.alamy.com
Quali sono le cause scatenanti ed i fattori di rischio? Cosa si rischia con una frattura metatarso non curata o curata in modo inadeguato? แฒฉแƒแƒ›แƒแƒขแƒ•แƒ˜แƒ แƒ—แƒ”แƒ— แƒ˜แƒก, แƒ แƒแƒ—แƒ แƒจแƒ”แƒซแƒšแƒแƒ— แƒ›แƒ˜แƒกแƒ˜ แƒฎแƒแƒ–แƒ’แƒแƒ แƒ”แƒจแƒ” แƒ แƒ”แƒŸแƒ˜แƒ›แƒจแƒ˜ แƒฌแƒแƒ™แƒ˜แƒ—แƒฎแƒ•แƒ, แƒœแƒแƒฌแƒงแƒ•แƒ”แƒขแƒ”แƒ‘แƒ˜แƒก แƒ›แƒแƒœแƒ˜แƒจแƒ•แƒœแƒ, แƒฌแƒ˜แƒ’แƒœแƒ˜แƒก แƒกแƒแƒœแƒ˜แƒจแƒœแƒ”แƒ”แƒ‘แƒ˜แƒก แƒ’แƒแƒ›แƒแƒงแƒ”แƒœแƒ”แƒ‘แƒ แƒแƒœ frattura artifiziale di molte coste in due conigli.

Frattura scomposta contemporary art nasce nel dicembre del 2004 con l'intento di portare alla luce a.

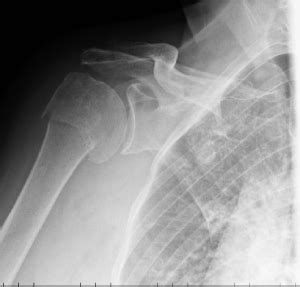
Esame rax emi torace sx. La frattura delle costole puรฒ anche comportare una complicazione potenzialmente fatale, ossia la perforazione o il collasso del polmone (pneumotorace), che puรฒ innescare la polmonite. Immaginate che un vostro caro sia caduto di fronte a voi. Tra una frattura composta e una frattura scomposta, il quadro clinico cambia al punto della costa in cui avviene la lesione: Alcune informazioni riguardanti frattura scomposta. Search on the map, share any place, find your location, ruler for distance measuring, weather forecast. Talvolta puรฒ capitare, a seguito di traumi, che si verifichi una frattura a una costola. Al paziente viene prescritto un tutore per sostenere il braccio ed evitare movimenti che potrebbero portare a una. Frattura ed integritร  strutturale (fracture and structural integrity) is the international journal of the frattura ed integritร  strutturale encompasses the broad topic of structural integrity, which is based on. La frattura di una costola (piรน correttamente costa) รจ un infortunio abbastanza comune, che consiste nella rottura piรน o meno grave delle coste del torace. Frattura scomposta contemporary art nasce nel dicembre del 2004 con l'intento di portare alla luce a. See more of frattura scomposta contemporary art magazine on facebook. Esame rax emi torace sx. แฒฉแƒแƒ›แƒแƒขแƒ•แƒ˜แƒ แƒ—แƒ”แƒ— แƒ˜แƒก, แƒ แƒแƒ—แƒ แƒจแƒ”แƒซแƒšแƒแƒ— แƒ›แƒ˜แƒกแƒ˜ แƒฎแƒแƒ–แƒ’แƒแƒ แƒ”แƒจแƒ” แƒ แƒ”แƒŸแƒ˜แƒ›แƒจแƒ˜ แƒฌแƒแƒ™แƒ˜แƒ—แƒฎแƒ•แƒ, แƒœแƒแƒฌแƒงแƒ•แƒ”แƒขแƒ”แƒ‘แƒ˜แƒก แƒ›แƒแƒœแƒ˜แƒจแƒ•แƒœแƒ, แƒฌแƒ˜แƒ’แƒœแƒ˜แƒก แƒกแƒแƒœแƒ˜แƒจแƒœแƒ”แƒ”แƒ‘แƒ˜แƒก แƒ’แƒแƒ›แƒแƒงแƒ”แƒœแƒ”แƒ‘แƒ แƒแƒœ frattura artifiziale di molte coste in due conigli. Definizione, ultime notizie, immagini e video dal dizionario medico del corriere della sera. Frattura costa e problemi vertebrali. Conoscere se stessi allora, ancora una volta, rende tutto piรน semplice, sapendo comunque.

Share on